世界卫生日||《化学试剂》精选文章推荐
编者按
世界卫生日(World Health Day)旨在引起世界各国人民对卫生、健康工作的关注,提高人们对卫生领域的素质和认识。2024年4月7日世界卫生日的主题是“我的健康,我的权利”。关注健康,关注疾病,捍卫每个人获得优质医疗条件的权利随着人们对新型和传统疾病的关注,生命科学和医学取得巨大进步,与之相关的各种诊断试剂、生化试剂、抗癌药物等相继出现,此类试剂的研究也成为行业关注的热点。
《化学试剂》精选出多篇有关疾病治疗药物的文章,内容涵盖抗肿瘤和抗感染、阿尔兹海默症、急性肝损伤和艾滋病治疗、抑制黑色素生物合成等药物的研究,希望能为相关领域学者提供新的思路和参考,欢迎阅读。
1北京工业大学孙国辉副教授:介孔硅纳米载体应用于肿瘤治疗的研究进展
韩凯硕,任婷,李多,孙国辉,张娜,赵丽娇,钟儒刚

化疗是临床上治疗恶性肿瘤的重要手段,但化疗药物毒副作用大、易产生耐药和生物相容性差等问题往往限制其治疗效果。纳米载体可使药物靶向作用于肿瘤部位,减少化疗药物对正常组织产生的毒副作用,从而提高治疗效果,近年来已成为癌症精准治疗领域中的研究热点。
2北京化工大学胡高飞教授:多功能19F磁共振/CT成像及光热/化学联合治疗纳米平台用于肿瘤诊疗
李璐,刘怡萌,李楠楠,胡高飞

光热疗法(PTT)是一种特异性强副作用小的非侵入性癌症治疗方法,具有广阔的应用前景,传统的PTT常用可见光进行激发,但由于生物组织对可见光的吸收强,导致可见光的组织穿透深度浅。因此开发对生物组织的光损伤小,组织穿透能力强的光热剂成为了相关研究热点。多功能一体化的纳米探针能够实现癌症的成像诊断和治疗以及药物示踪,具有潜在的广阔应用前景。
3贵州大学鄢龙家副教授:含噻吩片段的三嗪类化合物的合成与抗肿瘤活性研究
饶念,龙志武,乐意,刘力,鄢龙家

脑胶质瘤是一种常见的颅内肿瘤,具有起病隐匿、病死率高的特点。脑胶质瘤年发病率高,属于临床罕见病。目前,胶质瘤的手段主要有手术切除,化学药物治疗和放射治疗。然而,很少有治疗方法能明显改善脑胶质瘤病人的预后。因此,迫切需要开发新型治疗脑胶质瘤的药物。
4贵州医科大学汤磊教授:抗阿尔兹海默症灯盏乙素苷元衍生物设计、合成及活性研究
李慧,何筑,陈娇,李勇军,汤磊,傅晓钟

阿尔兹海默症(AD)是一种渐行性神经退行性疾病,是导致痴呆的主要原因。灯盏乙素及其活性代谢物灯盏乙素苷元(Scutellarein)具有广泛的药理活性,包括抗氧化、神经保护、金属螯合和抗炎特性,以及改善Aβ诱导的损伤等,表明灯盏乙素可能成为治疗AD的有利药物。
5西北大学范代娣教授:稀有人参皂苷对CCl4所致小鼠急性肝损伤的保护作用
张言,李娜,黄蓉,傅容湛,段志广,范代娣

肝脏是人体中最重要的消化器官,在代谢中扮演着无可取代的角色。人参作为名贵药材,其多种功效已被研究及临床结果证明,例如提高免疫力、改善糖尿病、增强记忆力、预防和治疗癌症等。有研究表明,人参皂苷是人参的主要活性成分,而且人参皂苷已经被证明具有多种药理学活性。
6新疆医科大学常军民教授:刺糖多糖脱色脱蛋白工艺及抗氧化活性研究
陈盈盈,李杰,宋建忠,陈章浩,李改茹,常军民

刺糖(Alhagi-honey)是豆科植物骆驼刺枝叶分泌凝结而成的糖粒,在中医临床用药具有悠久的历史。《本草纲目》将刺糖列为药中上品,据记载其有滋养强健、平衡体液、祛痰止咳的功效。目前提取刺糖多糖用水提醇沉法,所提取的多糖色素深,含有较多蛋白质,这些蛋白质与多糖结合形成糖蛋白后,严重影响了多糖的药效,且给后期分离均一多糖及相关结构鉴定造成很大困扰。
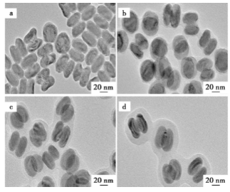
7浙江师范大学宫培军副教授:上转换@聚多巴胺纳米光热剂的制备及载药与抗菌性能
陈文雪,靳丹丹,朱良亮,袁善蓉,王浩,俞彬,宫培军

癌症和致病菌感染成为公共安全健康的严重威胁。采用反相微乳液法对上转换粒子NaYF4∶Yb, Nd, Er@NaGdF4∶Nd, Yb包裹聚多巴胺(PDA)并接枝聚乙烯亚胺(PEI),制备了核-壳结构纳米光热剂NaYF4∶Yb, Nd, Er@NaGdF4∶Nd, Yb@PDA-PEI,表征了产物的形貌、化学组成、光学性质、光热和药载/释药性能,为发展应用于抗肿瘤或抗感染治疗的纳米光热剂提供了新思路。
8中国医学科学院医药生物技术研究所朱梅副研究员:吗啉类衍生物的合成与HIV-1蛋白酶抑制活性的研究
杨帆,周慧宇,王玉成,朱梅

艾滋病,又称获得性免疫缺陷综合征(Acquired Immune Deficiency Syndrome,AIDS),是人类因感染免疫缺陷病毒(Human Immunodeficiency Virus,HIV)而导致免疫缺陷,并引发一系列机会性感染及肿瘤的综合征。作为全球十大致命性疾病之一,艾滋病对人类的生命健康和社会发展造成了严重的威胁。因此,研发新型的抗HIV药物是治疗艾滋病的根本途径。
9贵州大学乐意副教授:含亚胺结构片段的喹唑啉酮衍生物的合成与抗肿瘤活性研究
鄢龙家,王琴,刘力,乐意

设计并合成了一系列含亚胺结构片段的新型喹唑啉酮衍生物,最终的15个化合物结构经1HNMR、13CNMR和HR-MS确证,并评价了它们对野生型表皮生长因子受体酪氨酸激酶(EGFRwt-TK)和两种人癌细胞株(A549、HepG2)的体外抗肿瘤活性。结果表明,部分化合物具有良好的活性,特别是化合物(E)-2-((4-((3,4-二氟亚苄基)氨基)苯氧基)甲基)-3-甲基喹唑啉-4(3H)-酮对EGFR激酶的IC50达到0.037 µmol/L,对A549和HepG2两种肿瘤细胞的IC50值优于吉非替尼。
10贵州医科大学王广成副教授:曲酸类酪氨酸酶抑制剂研究进展
何敏,凡美艳,杨维,冯倩倩,马雪,李勇军,王广成

酪氨酸酶(Tyrosinase,EC.1.14.18.1)又称多酚氧化酶、儿茶酚氧化酶,是一种广泛存在于微生物、动植物以及人体中的含铜金属氧化酶,是调节黑色素生物合成的关键限速酶。酪氨酸酶可先将L-酪氨酸羟基化为左旋多巴(L-DOPA),再氧化L-DOPA为多巴醌,最终导致黑色素生物合成。酪氨酸酶抑制剂可以通过降低酪氨酸酶的催化效率,抑制黑色素的生物合成,在医疗美容、食品保鲜剂、新型杀虫剂等领域均具有十分广阔的应用前景。
11广西医科大学何林洪副教授:EGFR(T790M)抑制剂的设计、合成及活性评价
黄怀征,姚华良,张洁,曾宪霞,覃廷胜,梁倩,曹思思,何林洪

表皮生长因子受体(EGFR)的T790M突变最为频发,也是肺癌临床治疗失败的主要原因之一。鉴于先导化合物B6优良的抗H1975细胞系和异植瘤活性,对其进行了EGFR(T790M)激酶抑制活性的确认,并使用Autodock软件确认了两者的相互作用。以EGFR(T790M)为靶点对B6进行定向结构修饰,所得目标化合物经NMR和MS表征后,联合体外激酶、细胞生物活性与Autodock软件解释它们的构效关系。
12安徽中医药大学马晓东副教授:以3,5-二芳基取代吡唑为Cap的新型选择性HDAC6抑制剂:设计、合成及抑酶活性评价
何格,张明明,李志,徐星星,袁真,王琴,马晓东

为发现新型组蛋白去乙酰化酶抑制剂(Histone deacetylase inhibitors, HDACis),基于现有代表性选择性HDAC6抑制剂的结构特征,采用构象限制型的3,5-二芳基取代吡唑为Cap单元构建目标分子,经Claisen-Schmidt反应、环合、亲核取代、水解、缩合、羟胺解反应合成了9个化合物,并通过氢谱和质谱对其进行结构确证。
13云南师范大学吴相华副教授:二硫代氨基甲酸盐金配合物的抗肿瘤活性研究进展
陈秋梅,陈施施,吴相华

金属配合物作为抗癌药物的研究已受到广泛关注。金属药物的毒性、生物利用度和特异性可由金属配合物的结构和配体属性进行微调。金(Ⅰ,Ⅲ)配合物因具有优良的抗肿瘤活性被广泛研究。拥有配位功能的二硫代氨基甲酸盐具有潜在的化学保护功能,可用于治疗细菌和真菌感染,甚至癌症。稳定的二硫代氨基甲酸盐配体与金(Ⅰ,Ⅲ)的结合物因展现出优异的抗肿瘤活性而被广泛关注和研究,为癌症治疗提供了一种新的有效方法。
14广西医科大学谢集照副教授:三萜类化合物结构修饰及活性研究进展
何诗能,张清,谭珍媛,谢云峰,邱莉,谢集照

三萜类化合物是一类结构丰富、种类繁多的天然活性成分,在自然界中广泛存在,具有显著的抗炎、抗肿瘤及抗病毒等多种药理活性。从天然产物中提取的三萜类皂苷通常存在含量较低、活性不高、选择性差等特点,而适当的结构修饰可提高其生物活性及成药性,同时其结构与合成方面的研究也是研究者们长期关注的热点。因此开展有关三萜类化合物的合成及结构修饰研究对于天然产物领域具有重大意义。




